Note: All cases on this page were personally treated from start to finish by Dr. Curtis and are not stock photographs.
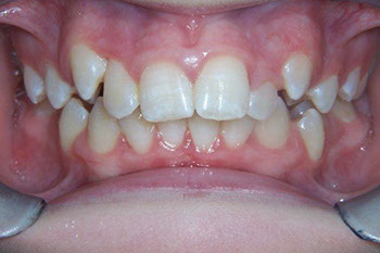
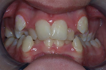
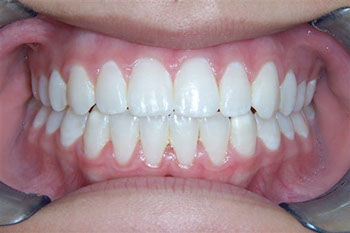
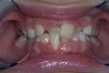
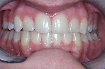
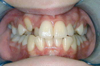
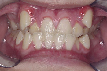
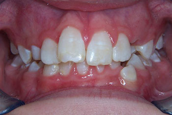
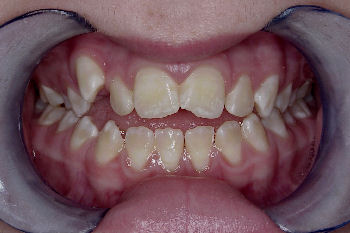
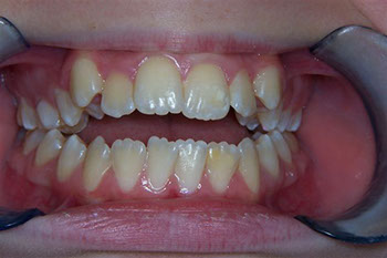
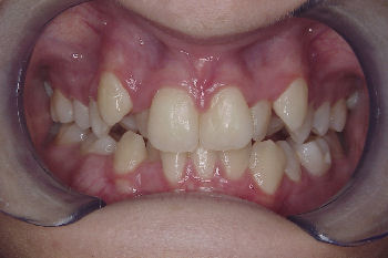
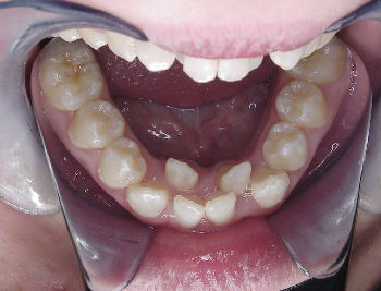
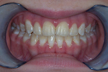
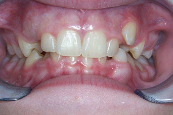
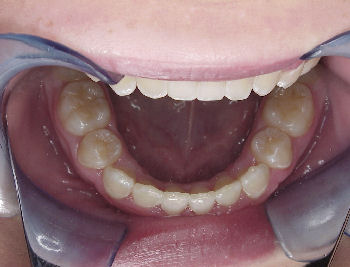
Crowding
2 - 2
<
>
2 - 2
<
>
2 - 2
<
>
2 - 2
<
>
2 - 2
<
>
2 - 2
<
>
2 - 2
<
>
Open Bite
2 - 2
<
>
2 - 2
<
>
2 - 2
<
>
2 - 2
<
>
Cross-bite
2 - 2
<
>
2 - 2
<
>
1 - 2
<
>
2 - 2
<
>
Spacing
2 - 2
<
>
2 - 2
<
>
Home | About Dr. Curtis | The Office | New Patient Info | Treatments | Q&A | Contact Us